Ästhetik
Zahnästhetik – der Natur ein wenig nachhelfen
Schöne Zähne stehen für Wohlbefinden und Attraktivität. Manche Menschen haben von Natur aus ein strahlend schönes Gebiss. Andere haben kleine Schönheitsfehler an den Zähnen, über die sie sich ärgern.
Statt Ärger kann heute eine zahnärztliche Behandlung helfen. Mit modernen Methoden können verfärbte Zähne wieder aufgehellt werden, kleine Zahnlücken verschwinden und selbst leichte Fehlstellungen lassen sich korrigieren.
Sollte bei Ihnen Zahnersatz notwendig werden, suchen wir natürlich gemeinsam auch nach ästhetisch überzeugenden Lösungen, selbstverständlich bei optimaler Qualität.
Diagnostik
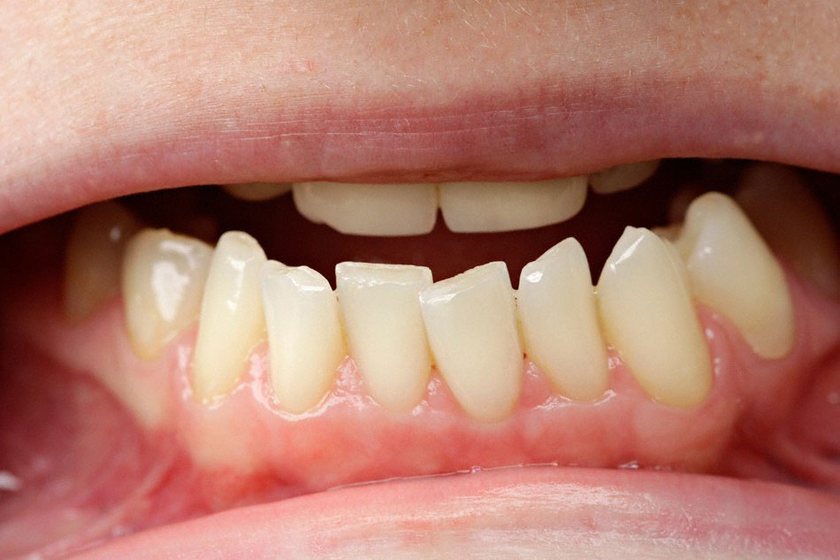
Ein schönes Lächeln kann beeinträchtigt werden durch folgende Ursachen:
- Verfärbung durch NikotinbelägeV
- Verfärbungen durch Kaffee, Tee, Rotwein
- Verfärbungen durch Ablagerungen im Zahninneren (besonders bei abgestorbenen oder Wurzelkanalbehandelten Zähnen)
- Unansehnliche und alte Füllungen
- Kariöse Zähne
- Nicht abschließende Kronenränder
- Zahnlücken
- Zahnengstand
- Frakturierte Zähne (z.B. fehlende Ecke)
- geschwollenes, stark gerötetes Zahnfleisch
Behandlung
SO SCHÖN KÖNNEN ZÄHNE SEIN
Nach professioneller Zahnreinigung - Eine professionelle Zahnreinigung kann wirksam und schonend Verfärbungen durch Ablagerungen auf der Zahnoberfläche (z. B. Raucher-, Kaffee- oder Teebeläge) entfernen.
Nach dem Bleichen der Zähne - Durch das Bleichen der Zähne werden nachgedunkelte Zähne wieder aufgehellt, die Zähne werden wieder weißer.
Kunststofffüllungen - Kunststofffüllungen werden in plastischer Konsistenz in einer aufwändigen Schicht- und Klebetechnik in die Kavität eingebracht und mit speziellem Licht ausgehärtet.
Keramikinlays - Keramikinlays werden im Labor vom Zahntechniker hergestellt. Die Vorteile sind sowohl die hohe Ästhetik und Biokompatibilität als auch die Passgenauigkeit und lange Haltbarkeit.
Krone - Verblendkronen erfüllen hohe Ansprüche an jahrelang gleich bleibende Zahnfarben und an dauerhafte Stabilität. Keramik ist kaudruckstabil und mit dem Metallgerüst fest verbunden.
Verblendbrücken haben als Gerüst eine Metalllegierung, die jedoch mit Keramik verblendet werden kann. Dadurch wird die Beeinträchtigung der Ästhetik vermieden.
Vollkeramikbrücken haben ein Gerüst aus Zirkondioxid und bieten durch Transluzenz und Transparenz eine hohe Ästhetik.
Implantate aus Titan oder Zirkondioxid bringen viele Vorteile mit sich: sie vermeiden den Knochenabbau und fördern die Zahnfleischregeneration, außerdem werden dabei keine Nachbarzähne beschliffen. Auch der Aufbau lässt sich nach hohen ästhetischen Ansprüchen mit Vollkeramik-Teilen incl. Vollkeramikkronen realisieren.
Recall
Voraussetzung für die Erhaltung der schönen neuen Zähne ist die konsequente Kontrolle durch den Zahnarzt, eine systematische und regelmäßige Mundhygiene und eine zahngesunde Ernährung.
Wenn Sie es wünschen, werden Sie gern für regelmäßige Kontrolluntersuchungen in dem von Ihnen gewählten Zeitraum an die nächste zahnärztliche Untersuchung von uns erinnert.
